2025.09.29 조회수 118
* 본 포스팅은 피지 낭종, 지방종 등의 양성종양 및 치료 성형 증례에 대한 내용으로 다소 거부감을 느낄 수 있는 사진과 동영상들이
포함되어 있으니 비위가 약하신 분들은 주의하시길 바랍니다.

모기질종은 주로 얼굴, 특히 털이나 솜털이 많은
구레나룻 근처에서 흔히 발견되지만,
사실 우리 몸의 털이 있는 어느 부위든 생길 수 있습니다.
오늘은 구레나룻 근처에 생긴 3세 여아
사례를 보면서 설명해 드리겠습니다.
소중한 사진 사용하게 해주셔서 감사합니다.
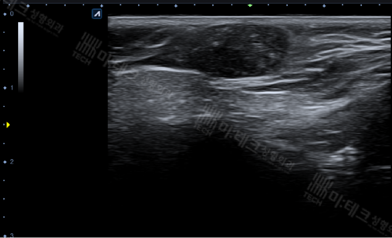
정확한 진단을 위해 초음파 검사를 시행했습니다.
약 1.5cm가량의 피지낭종과 유사한 정도의 음영으로 보이는데,
아직 많이 딱딱해지지 않은 상태로 보입니다.
딱딱한 경우보다는 좀 더 쪼개서
꺼내기 용이한 상태라고 생각하면 될 것 같습니다.
(많이 딱딱해지면 밑으로 그림자가 상당히 남게 됩니다.)
수술은 0.6cm가량의 절개선으로 마무리해 주었습니다.
이후 관리도 잘 부탁드립니다.
많은 아이들, 또는 어른들이 모기질종 제거를
위해 병원에 오는데요.
아무래도 대부분의 관심사는 마취, 흉터 이 두 가지인 것 같습니다.
최대한 안전하게, 최소 절개로 제거를 위해
항상 노력하고 공부하도록 하겠습니다.
감사합니다.