2025.02.26 조회수 388
* 본 포스팅은 피지낭종, 지방종 등의 양성종양 및 치료 성형 증례에 대한 내용으로 다소 거부감을 느낄 수 있는
사진과 동영상들이 포함되어 있으니 비위가 약하신 분들은 주의하시기 바랍니다.
오늘 오신 분도 이마에 생긴 딱딱한 울산 이마혹 때문에 저희 병원을 찾아주신 30대 여성분입니다.
미관상으로도 보기 싫고 점점 커지는 것이 불안해서 저희 병원을 검색해서 찾아주셨습니다.
지방종은 우리 몸에 지방이 분포하는 어떤 곳이든 생기는 상당히 흔한 덩어리 중 하나이고,
아무래도 저희는 성형외과이다 보니 다른 부위의 지방종에 비해 이마 지방종을 가장 흔하게 만나는 것 같습니다.
소중한 사진 사용하게 해주셔서 감사합니다 ^^
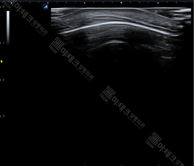
뼈 위, 근육 아래에 비정상적인 음영이 관찰되네요.
뼈가 튀어나오지 않음을 확인했습니다.
아주 깊숙하게 있는 덩어리이기 때문에 점만 찍어서 수술하기는 어렵습니다.
최소한의 길이는 보장되어야 하는데요.
피부의 깊이에 따라 절개길이도 달라지지만 가능한 최소절개를 위해 노력하고 있습니다.
국소마취로 수술하였고 20분 정도 걸렸습니다.
1주일 뒤 실 제거하였습니다.
미테크에서는 수술만큼이나 흉터 치료 프로그램도 체계적으로 운영하고 있으니
잘 이용해 주시면 보다 나은 결과 얻을 수 있습니다.
감사합니다.
미테크성형외과는 성형외과 전문의 2인으로 구성된 병원으로 항상 안전한 수술을 지향합니다.
환자분들이 편안한 곳에서 수술하고 회복하실 수 있게끔 모든 의료진이 최선을 다해 노력하도록 하겠습니다.
감사합니다.